

環球網4月2日報道 據《每日郵報》報道,上個月,南非大牛蛙布魯萊的右小腿被鄰居家的一只狗咬到,導致粉碎性骨折,現在經過2個小時的手術,它的斷腿已經被接上,它也因此成為有史以來第一只通過外科手術用鋼針接上斷腿的青蛙。
布魯萊的主人,居住在南非約翰內斯堡附近的62歲的安妮·米恩斯說:“我對這只青蛙如此關心,人們一定認為我瘋了,但是我無法眼睜睜看著它那么痛苦。青蛙因其靈活的腿腳而著稱,一想到布魯萊的腿里要留下一個薄金屬片,我就感到心痛。然而我知道,如果不進行手術,布魯萊以后就沒辦法動彈了。因此我匆匆趕到獸醫那里,央求他給這只可憐的青蛙動手術。這位獸醫整天救助小貓小狗,他很難理解為什么我這么擔心一只青蛙,但是最終他還是答應了給布魯萊做手術。手術后是幾個小時的焦急等待,我們希望它能快快蘇醒過來。不過現在它的傷口已經愈合,又能在花園里跳來跳去了。X光照射顯示,它會恢復的跟以前一樣。”
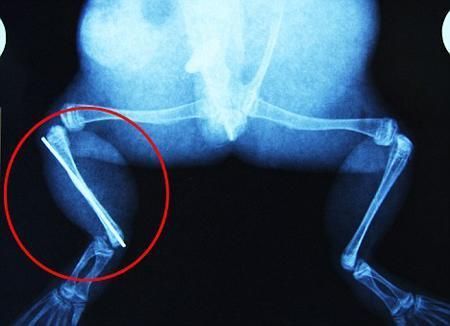
野生生物專家安妮經常為學校寫教材,她認為這是人類第一次通過手術給一只青蛙接斷腿。在手術開始階段,獸醫把少量給狗用的麻醉藥注入到這只青蛙體內,讓它失去知覺。然后他在布魯萊的斷腿上切開一個小口,把一根小鋼針植入腿里。最后獸醫給它縫了9針,把切口縫合在一起。僅僅幾周后,布魯萊就能在安妮家附近活動了。這只青蛙大約已有25歲,主要以嚙齒動物、蛇和其他青蛙為食。布魯萊所屬的牛蛙種群正在不斷減小,目前只能在非洲南部的濕地里才能看到這種青蛙。
安妮有2個孩子,她已經從事20多年兩棲動物保護工作。她認為鄰居家的狗狗在把布魯萊從地下刨出來的時候,它正在地下冬眠、她說:“世界上只有這個地區能看到這種牛蛙,這種青蛙現在變得越來越稀少。因為我從事野生生物保護工作,因此認識很多兩棲動物專家,但是以前他們誰也沒見過這種事情。看到布魯萊越來越健康我非常開心。現在還需要一段時間,它的金屬腿和它的骨骼才能融為一體,那時布魯萊會跟以前一樣健康。我們認為這個過程需要幾周時間,但是一旦它完全康復,我希望把它放歸大自然,讓它重新回到它最鐘愛的濕地里。”

Copyright ©1999-2026 chinanews.com. All Rights Reserved